Diagnose
Wenig differenziertes Adenokarzinom: Lebermetastase
Diagnose Gruppe
maligner Tumor
Topographie Gruppe
Leber, Gallenwege, Pankreas
Beschreibung
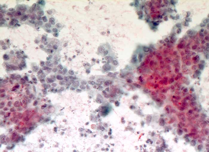
Leber, Feinnadelpunktion: Reichlich nekrotischer Zelldetritus im Hintergrund. Grössere Tumorzellverbände. Die Tumorzellen zeigen vergrösserte, polymorphe vesikuläre Kerne und deutliche Nukleolen.
Zusatzbefund
Histologie: Metastase eines mässig differenzierten Magenkarzinoms
Klinik
Lebermetastase bei unbekanntem Primärtumor
Kommentar
Zytologische Diagnose: Zellen eines wenig differenzierten zentral nekrotischen Adenokarzinoms. Differentialdiagnostisch kommt in erster Linie ein Karzinom des Dickdarms oder des Magens in Betracht.
Datum
Ersteintrag: 25.12.2002
Update: 04.02.2024