PathoPic – image database / PathoPic ID 5615 - reaktiv veränderte Mesothelien

de
Diagnose
reaktiv veränderte Mesothelien
Diagnose Gruppe
Präneoplasie/ Atypie/ Dignität?
Topographie
Aszites
Topographie Gruppe
Körperhöhlen, Serosa
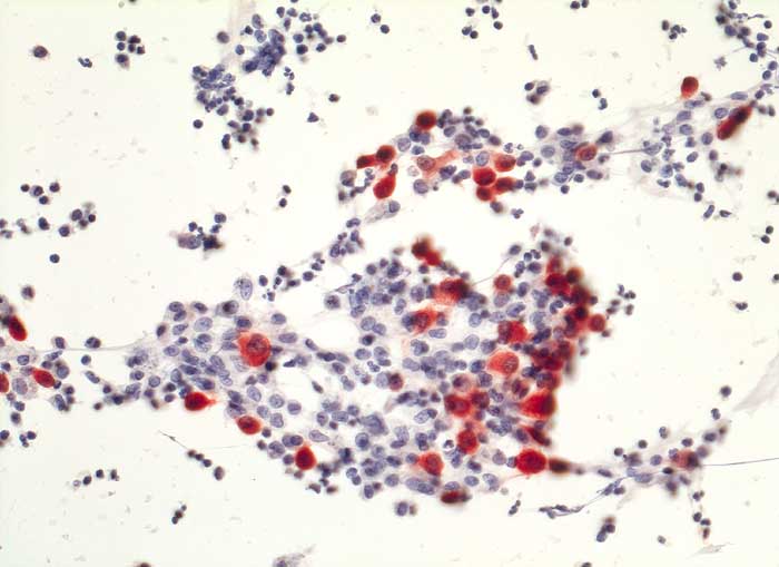
Beschreibung
Die atypischen, vergrösserten Zellen sind positiv für den Mesothelmarker Calretinin. Die zahlreichen beigemischten Entzündungszellen sind negativ.
Zusatzbefund
Die atypischen Zellen zeigen folgendes Markerprofil:
Alpha-Fetoprotein: negativ.
Hepatocyte: negativ.br> PSA: negativ.
TTF1: negativ.
CK20: negativ.
CK7: positiv.
Calretinin: positiv.
Klinik
V. a. Leberzellkarzinom
Kommentar
Dieses immunhistochemische Markerprofil, insbesondere die deutliche Positivität für den Mesothel-Marker Calretinin und fehlende Expression des Epithelmarkers Ber-EP4, passen am ehesten zu Zellen mesothelialen Ursprungs. Auch Zytokeratin 7 wird in normalen Mesothelien typischerweise exprimiert. Insgesamt sprechen die Befunde für ausgeprägte reaktive Veränderungen und gegen ein Karzinom. Insbesondere bei Leberzirrhose werden gelegentlich schwere reaktive Mesothelveränderungen im Aszites beobachtet, die zytologisch ein Karzinom vortäuschen können.
Bilder Typ
Zytologie
Immunhistochemie
Calretinin
Vergrösserung
200
Alter
83
Geschlecht
männlich
Datum
Ersteintrag: 03.11.2002
Update: 04.02.2024