Diagnose
Extrahepatischer Verschlussikterus
Diagnose Gruppe
organspezifische Erkrankung
Topographie Gruppe
Leber, Gallenwege, Pankreas
Beschreibung
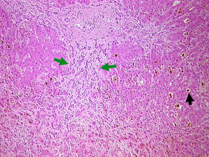
► Gallezylinder in erweiterten interzellulären Canaliculi (Gallethromben). ► Ductulusproliferationen im leicht fibrosierten Portalfeld.
Zusatzbefund
Gallenblasenkarzinom. Kompression des Ductus choledochus durch Lymphknotenmetastasen im Leberhilus.
Datum
Ersteintrag: 14.11.2001
Update: 04.02.2024