Diagnose
Adenokarzinom der Prostata
Diagnose Gruppe
maligner Tumor
Topographie Gruppe
Genitalorgane, männlich
Beschreibung
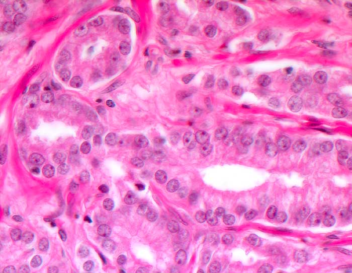
Von einem einreihigen Epithel ausgekleidete Tumordrüsen mit fehlender Basalzellschicht. Auffallend grosse Nukleolen.
Klinik
Malignitätsverdächtiger Palpationsbefund
Datum
Ersteintrag: 26.12.2002
Update: 04.02.2024