PathoPic – image database / PathoPic ID 5633 - Hellzelliges Nierenzellkarzinom

de
Diagnose
Hellzelliges Nierenzellkarzinom
Diagnose Gruppe
maligner Tumor
Topographie
Haut, Hals
Topographie Gruppe
Haut
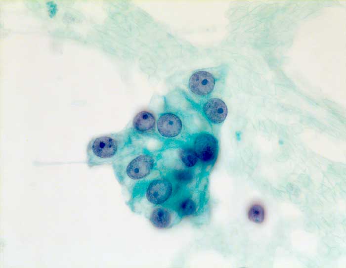
Beschreibung
Haut, Feinnadelpunktion: Zellverband mit pflanzenzellartigem hellem reichlichem Zytoplasma und scharfen Zellgrenzen. Zentralständiger runder vesikulärer Kern mit einem einzelnen deutlich erkennbaren Nukleolus.
Klinik
Nephrektomie vor einem Jahr wegen hellzelligem Nierenzellkarzinom. Jetzt Hauttumor nuchal links.
Kommentar
Zytologische Diagnose: Feinnadelpunktat der Haut, cervikal nuchal links: Zahlreiche Karzinomzellen, gut vereinbar mit Metastasen eines Nierenzellkarzinoms.
Bilder Typ
Zytologie
Vergrösserung
630
Alter
72
Geschlecht
männlich
Datum
Ersteintrag: 26.12.2002
Update: 04.02.2024