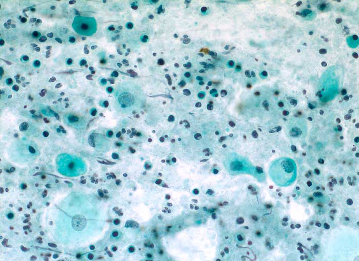
Portio/Zervix Abstrich: Generalisierte Vergrösserung der Zellkerne in atrophen oder parabasalzell-artigen Zellen ohne signifikante Hyperchromasie. Autolyse kann in nackten Kernen resultieren. Degenerierte parabasalzell-artige Zellen mit Kernpyknose. Reichlich Entzündungszellen und basophiler granulärer Hintergrund ähnlich einer Tumordiathese.
Kommentar
Zytologische Diagnose: Atrophische Kolpitis. Im vorliegenden zytologischen Ausstrichmaterial keine Hinweise auf Dysplasie. Wir empfehlen aber sicherheitshalber eine Kontrolle nach hormonellem Aufbau.