PathoPic – image database / PathoPic ID 5643 - Astrozytom, low grade, WHO Grad II

de
Diagnose
Astrozytom, low grade, WHO Grad II
Diagnose Gruppe
maligner Tumor
Topographie
Hirn temporal
Topographie Gruppe
Nervensystem
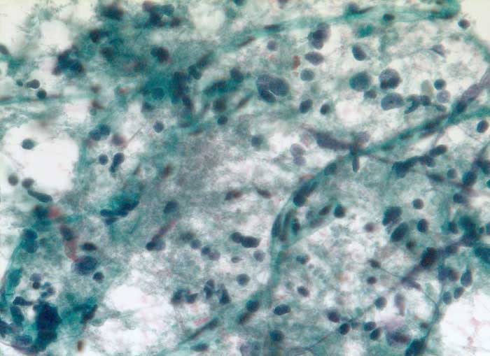
Beschreibung
Schnellschnittflüssigkeit Hirn temporal rechts: Ausstrich reich an Detritus mit zahlreichen astrozytären Zellen. Diese besitzen mässig polymorphe, teilweise mehr rundliche, teils spindelige Kerne. Der Hintergrund enthält neben Detritus viel fibrilläres Material und dazwischen dichte Ansammlungen von Kapillarrippen.
Kommentar
Zytologische Diagnose: Zahlreiche Zellen eines malignen astrozytären Tumors. Der Befund dürfte am ehesten einem Astrozytom Grad II entsprechen
Bilder Typ
Zytologie
Vergrösserung
320
Alter
41
Geschlecht
unbekannt
Datum
Ersteintrag: 26.12.2002
Update: 04.02.2024