PathoPic – image database / PathoPic ID 5653 - Adenoidzystisches Karzinom

de
Diagnose
Adenoidzystisches Karzinom
Diagnose Gruppe
maligner Tumor
Topographie
Mamma
Topographie Gruppe
Mamma
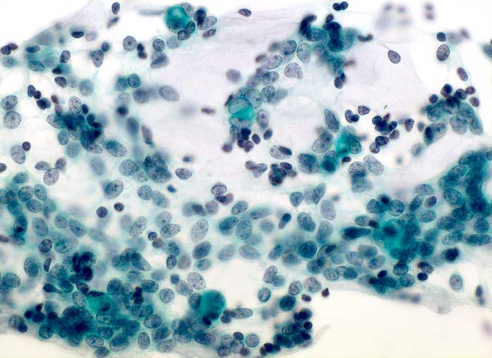
Beschreibung
Feinnadelpunktion Mamma: Monomorphe Tumorzellen mit ovalen Kernen. Das Kernchromatin ist leicht vergröbert mit gelegentlichen Chromozentren, aber ohne prominente Nukleolen. Zwischen den Tumorzellen mukoides Material.
Klinik
V.a. Mammakarzinom
Kommentar
Zytologische Diagnose: Adenoidzystisches Karzinom.
Kommentar: Adenoidzystische Karzinome kommen vor allem im Bereich der Speicheldrüsen vor, treten aber auch in anderen Organen auf. Sie machen weniger als 0.1% - 0.2% der Mammakarzinome aus.
Bilder Typ
Zytologie
Vergrösserung
400
Alter
67
Geschlecht
unbekannt
Datum
Ersteintrag: 13.11.2002
Update: 04.02.2024