PathoPic – image database / PathoPic ID 5663 - Lymphknotensarkoidose

de
Diagnose
Lymphknotensarkoidose
Diagnose Gruppe
Entzündung / Reparatur
Topographie
Lymphknoten, Kopf-cervikal
Topographie Gruppe
Lymphatische Gewebe, KM, Milz
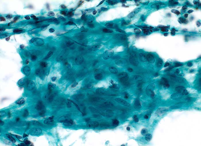
Beschreibung
Feinnadelpunktion Parotislymphknoten: epitheloidzelliges Granulom.
Zusatzbefund
Ziehl Neelsen negativ
Klinik
Lymphknotenvergrösserung supraklavikulär und submandibulär. Nachtschweiss und Gewichtsverlust.
Kommentar
Eine rein produktive Tuberkulose ist nicht auszuschliessen.
Bilder Typ
Zytologie
Vergrösserung
400
Alter
31
Geschlecht
unbekannt
Datum
Ersteintrag: 14.11.2002
Update: 04.02.2024