Pathopic
HiPaKu
ZyPaKu
PathoBasic
PathoBasic Cytology
Quizzes
Projektinfos
PathoPic - Projekt- und Copyright-Infos
About
Pathopic
HiPaKu
ZyPaKu
PathoBasic
PathoBasic Cytology
Quizzes
PathoPic – image database
/
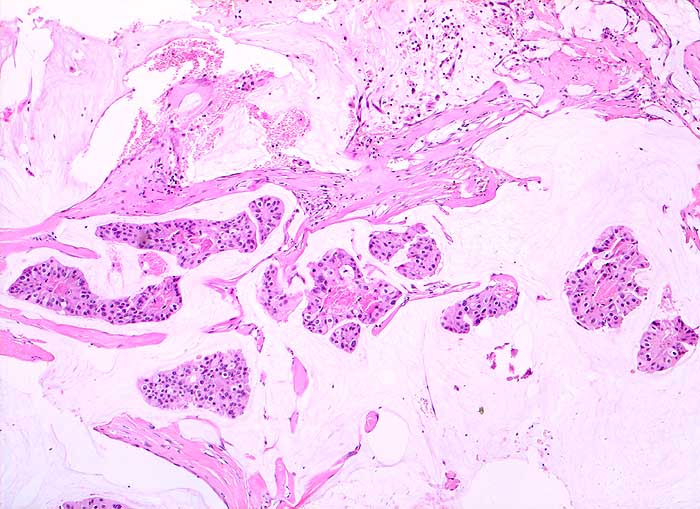
PathoPic ID 5665 - hoch differenziertes muzinöses Mammakarzinom
de
Diagnose
hoch differenziertes muzinöses Mammakarzinom
Diagnose Gruppe
maligner Tumor
Topographie
Mamma
Topographie Gruppe
Mamma
Beschreibung
Breite sklerosierte Bindegewebssepten durchziehen grosse Schleimseen, in die Tumorzellverbände mit geringen Atypien eigebettet sind.
Bilder Typ
Histologie
Vergrösserung
50
Alter
86
Geschlecht
unbekannt
Datum
Ersteintrag: 20.11.2002
Update: 04.02.2024
CPS
·
©
2024 Institut für Pathologie Basel
/
Dr. med. Katharina Glatz-Krieger
.
·
v2.1