Pathopic
HiPaKu
ZyPaKu
PathoBasic
PathoBasic Cytology
Quizzes
Projektinfos
PathoPic - Projekt- und Copyright-Infos
About
Pathopic
HiPaKu
ZyPaKu
PathoBasic
PathoBasic Cytology
Quizzes
PathoPic – image database
/
PathoPic ID 5676 - Hyaline Membranenkrankheit (IRDS)
de
Diagnose
Hyaline Membranenkrankheit (IRDS)
Diagnose Gruppe
angeboren /genetisch/Missbildung
Topographie
Lunge
Topographie Gruppe
Paidopathologie
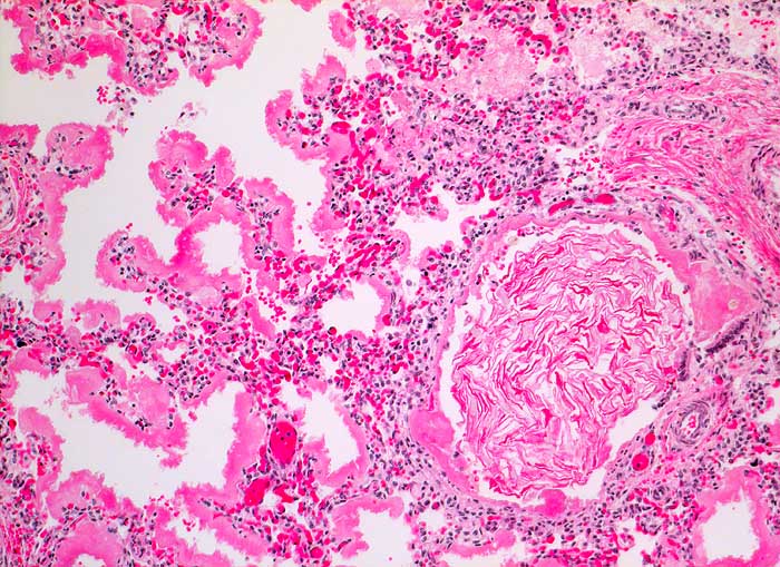
Beschreibung
Massive Mekoniumaspiration: Pfröpfe mit
Mekonium in den Alveolarräumen.
Hyaline Membrankrankheit im Sinne eines IRDS.
Zusatzbefund
Normalgewichtiges Neugeborenes der 37. SSW. Linksbetonte Hypoplasie beider Lungen. Lungen vor allem im alveolären Stadium.
Klinik
Kongenitale beidseitige Diaphragmahernie bekannt seit 24. Schwangerschaftswoche.
Kommentar
Asphyxie bei Hypoplasie beider Lungen.
Bilder Typ
Histologie
Vergrösserung
100
Alter
-37
Geschlecht
unbekannt
Datum
Ersteintrag: 21.11.2002
Update: 04.02.2024
CPS
·
©
2024 Institut für Pathologie Basel
/
Dr. med. Katharina Glatz-Krieger
.
·
v2.1