PathoPic – image database / PathoPic ID 5686 - Duktales Carcinoma in situ, high grade

de
Diagnose
Duktales Carcinoma in situ, high grade
Diagnose Gruppe
maligner Tumor
Topographie
Mamma
Topographie Gruppe
Mamma
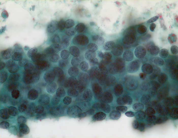
Beschreibung
Feinnadelpunktion Mamma: atypische Zellen mit unterschiedlich grossen grob strukturierten Kernen und einzelnen Mitosen.
Klinik
Verdacht auf Mammakarzinom
Kommentar
Zytologische Diagnose: Karzinom (duktales Mammakarzinom?). Kombination von Detritus, Schaumzellen und monomorphen atypischen Zellen passt zu duktalem Cis. Differentialdiagnostisch ist an ein Milchgangspapillom zu denken, das mit ausgeprägten Zellatypien einhergehen kann.
Bilder Typ
Zytologie
Vergrösserung
630
Alter
68
Geschlecht
unbekannt
Datum
Ersteintrag: 25.11.2002
Update: 04.02.2024