Pathopic
HiPaKu
ZyPaKu
PathoBasic
PathoBasic Cytology
Quizzes
Projektinfos
PathoPic - Projekt- und Copyright-Infos
About
Pathopic
HiPaKu
ZyPaKu
PathoBasic
PathoBasic Cytology
Quizzes
PathoPic – image database
/
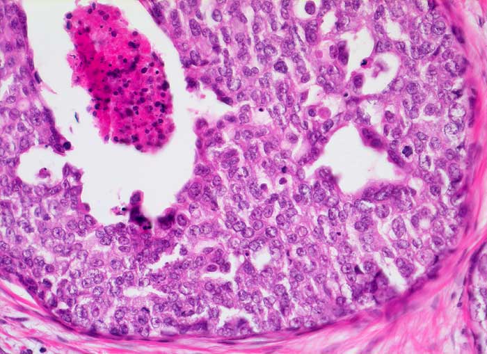
PathoPic ID 5688 - Duktales Carcinoma in situ, high grade mit Komedonekrose
de
Diagnose
Duktales Carcinoma in situ, high grade mit Komedonekrose
Diagnose Gruppe
maligner Tumor
Topographie
Mamma
Topographie Gruppe
Mamma
Beschreibung
Solides Carcinoma in situ mit
Komedonekrosen und schweren Zellatypien.
Klinik
Verdacht auf Mammakarzinom
Bilder Typ
Histologie
Vergrösserung
200
Alter
68
Geschlecht
unbekannt
Datum
Ersteintrag: 25.11.2002
Update: 04.02.2024
CPS
·
©
2024 Institut für Pathologie Basel
/
Dr. med. Katharina Glatz-Krieger
.
·
v2.1