Pathopic
HiPaKu
ZyPaKu
PathoBasic
PathoBasic Cytology
Quizzes
Projektinfos
PathoPic - Projekt- und Copyright-Infos
About
Pathopic
HiPaKu
ZyPaKu
PathoBasic
PathoBasic Cytology
Quizzes
PathoPic – image database
/
PathoPic ID 569 - Zementabrieb
de
Diagnose
Zementabrieb
Diagnose Gruppe
Artefakt / Fremdkörper / Pigment
Topographie
Weichteile Hüfte
Topographie Gruppe
Weichteile
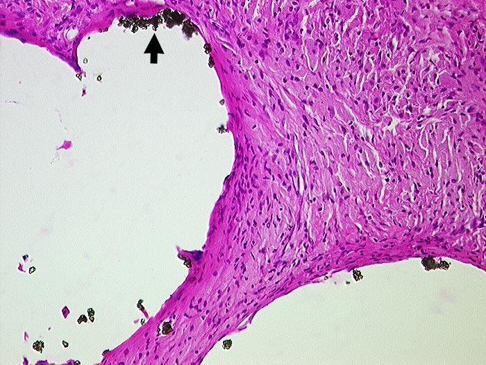
Beschreibung
Vernarbtes geringgradig entzündlich infiltriertes Gewebe aus dem Pfannengrund. In grossen Hohlräumen liegen
►
Bariumpartikel. Der Zement ist durch die Verarbeitung herausgelöst worden.
Klinik
Hüft-TP Wechsel.
Bilder Typ
Histologie
Alter
46
Geschlecht
männlich
Datum
Ersteintrag: 14.11.2001
Update: 04.02.2024
CPS
·
©
2024 Institut für Pathologie Basel
/
Dr. med. Katharina Glatz-Krieger
.
·
v2.1