PathoPic – image database / PathoPic ID 5696 - Milchgangspapillom

de
Diagnose
Milchgangspapillom
Diagnose Gruppe
benigner Tumor
Topographie
Mamma
Topographie Gruppe
Mamma
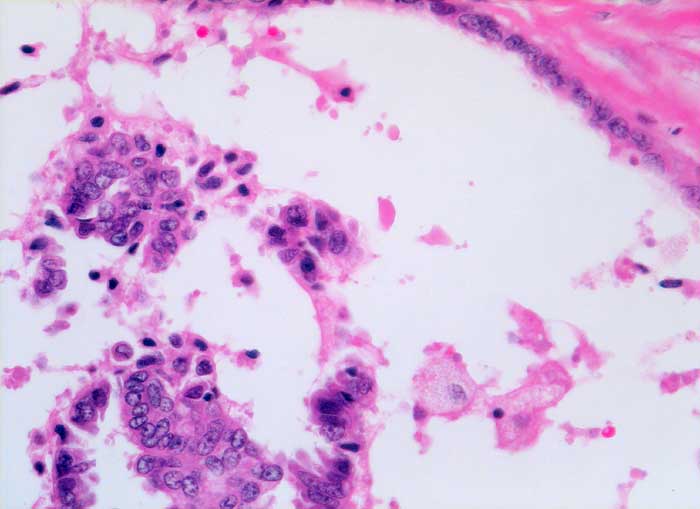
Beschreibung
Der Zystische Hohlraum enthält neben epithelialen Zellverbänden auch einige Schaumzellen.
Klinik
Tastbefund rechts bei 12h, perimamillär mit benignen Schallkriterien. DD: Fibroadenom, Lipom, Fettgewebsnekrose.
Kommentar
Zytologische Diagnose: Verdacht auf Milchgangspapillom
Bilder Typ
Histologie
Vergrösserung
320
Alter
37
Geschlecht
unbekannt
Datum
Ersteintrag: 25.11.2002
Update: 04.02.2024