PathoPic – image database / PathoPic ID 5697 - Milchgangspapillom

de
Diagnose
Milchgangspapillom
Diagnose Gruppe
benigner Tumor
Topographie
Mamma
Topographie Gruppe
Mamma
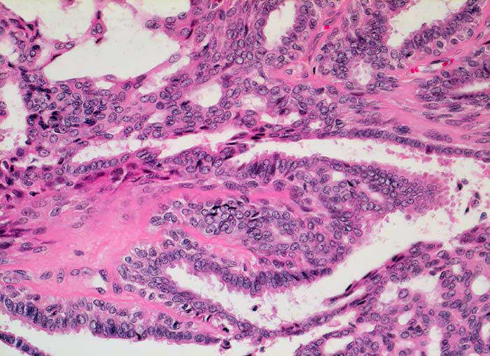
Beschreibung
Papilläre Bindegewebsachsen werden ausgekleidet von einem zylindrischen Epithel ohne Atypien und einer basalen Myoepithelschicht.
Klinik
Tastbefund rechts bei 12h, perimamillär mit benignen Schallkriterien. DD: Fibroadenom, Lipom, Fettgewebsnekrose.
Bilder Typ
Histologie
Vergrösserung
200
Alter
37
Geschlecht
unbekannt
Datum
Ersteintrag: 25.11.2002
Update: 04.02.2024