PathoPic – image database / PathoPic ID 570 - Grosszelliges Bronchuskarzinom

de
Diagnose
Grosszelliges Bronchuskarzinom
Diagnose Gruppe
maligner Tumor
Topographie
Lunge
Topographie Gruppe
Lunge, Mediastinum mit Thymus
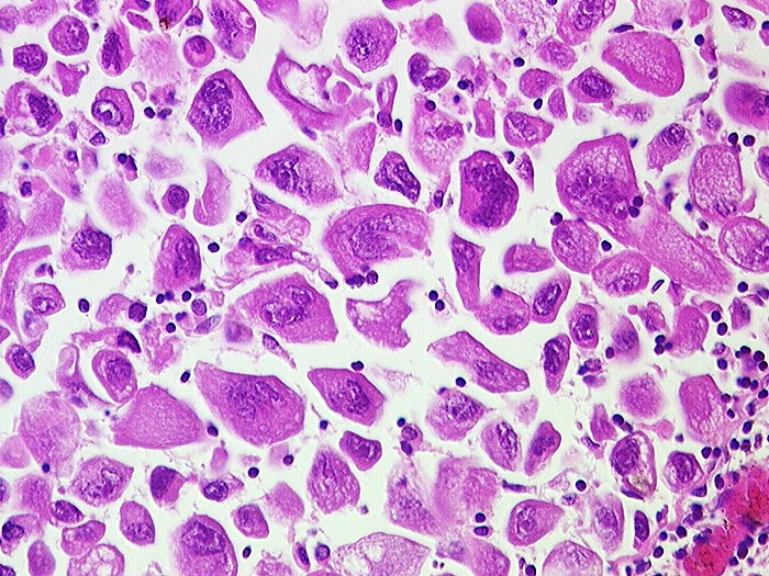
Beschreibung
Stark polymorphe polygonale Tumorzellen mit grossen hyperchromatischen Kernen und reichlich Zytoplasma. Keine morphologischen Merkmale einer squamösen, glandulären oder neuroendokrinen Differenzierung erkennbar.
Zusatzbefund
Peripheres Lungenkarzinom
Klinik
Unbekannter Primärtumor
Bilder Typ
Histologie
Alter
67
Geschlecht
männlich
Datum
Ersteintrag: 14.11.2001
Update: 04.02.2024