PathoPic – image database / PathoPic ID 5702 - Fibrozystische Mastopathie

de
Diagnose
Fibrozystische Mastopathie
Diagnose Gruppe
benigner Tumor
Topographie
Mamma
Topographie Gruppe
Mamma
Beschreibung
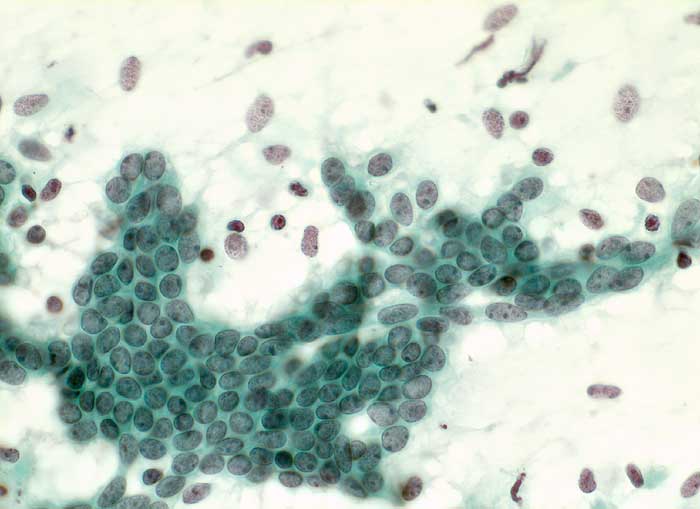
Feinnadelpunktion Mamma: Das ungewöhnlich zellreiche Material enthält grosse Verbände von regelrechten duktalen Mammaepithelien und zahlreiche einzeln liegende bipolare nackte Kerne (Korbzellen).
Klinik
V.a. Mammakarzinom
Kommentar
Zytologische Diagnose: fibrozystische Mastopathie mit ausgeprägter duktaler Epithelhyperplasie und apokriner Metaplasie
Bilder Typ
Zytologie
Vergrösserung
400
Alter
32
Geschlecht
unbekannt
Datum
Ersteintrag: 26.11.2002
Update: 04.02.2024