PathoPic – image database / PathoPic ID 5705 - Fibrozystische Mastopathie: apokrine Metaplasie

de
Diagnose
Fibrozystische Mastopathie: apokrine Metaplasie
Diagnose Gruppe
benigner Tumor
Topographie
Mamma
Topographie Gruppe
Mamma
Beschreibung
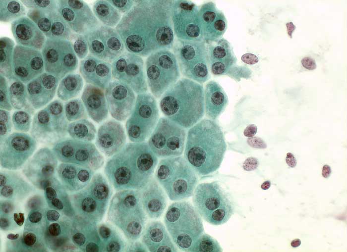
Feinnadelpunktion Mamma: zweidimensionaler Verband polygonaler, scharf begrenzter onkozytärer Zellen mit breitem, teils fein eosinophil granuliertem Zytoplasma. Zahlreiche zweikernige Zellen. Die Kerne sind rund, grob strukturiert und enthalten einen oder mehrere grosse Nukleolen. Der Zellverband wird begleitet von bipolaren Myoepithelien.
Klinik
V.a. Mammakarzinom
Kommentar
Zytologische Diagnose: fibrozystische Mastopathie mit ausgeprägter duktaler Epithelhyperplasie und apokriner Metaplasie
Bilder Typ
Zytologie
Vergrösserung
400
Alter
32
Geschlecht
unbekannt
Datum
Ersteintrag: 26.11.2002
Update: 04.02.2024