Diagnose
Seminommetastase
Diagnose Gruppe
maligner Tumor
Topographie Gruppe
Lunge, Mediastinum mit Thymus
Beschreibung
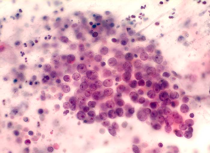
Zahlreiche nekrotische Zellen und granulozytär entzündliches Zellbild im Hintergrund. Die vitalen Zellen erscheinen oft nacktkernig. Die vesikulären Kerne sind gross, rundlich und enthalten im Gegensatz zum kleinzelligen und grosszellig neuroendokrinen Karzinom grosse plumpe Nukleolen.
Klinik
Lungenrundherd. Status nach Semikastration wegen Seminom.
Datum
Ersteintrag: 29.11.2002
Update: 04.02.2024