PathoPic – image database / PathoPic ID 5729 - Seminommetastase

de
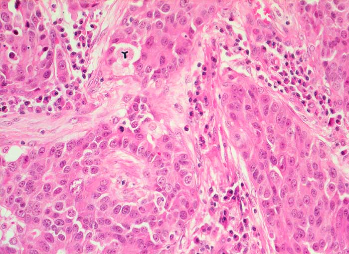
Diagnose
Seminommetastase
Diagnose Gruppe
maligner Tumor
Topographie
Lunge
Topographie Gruppe
Lunge, Mediastinum mit Thymus
Beschreibung
Solide Tumorzellstränge umgeben von plasmozellulär infiltriertem Stroma. Grosse Tumorzellen mit reichlich eosinophilem Zytoplasma und vesikulären Kernen mit prominenten Nukleoli. Atypische Mitose (Mercedesstern).
Klinik
Lungenrundherd. Status nach Semikastration wegen Seminom.
Bilder Typ
Histologie
Vergrösserung
200
Alter
42
Geschlecht
männlich
Datum
Ersteintrag: 29.11.2002
Update: 04.02.2024