Diagnose
Seminommetastase
Diagnose Gruppe
maligner Tumor
Topographie Gruppe
Lunge, Mediastinum mit Thymus
Beschreibung
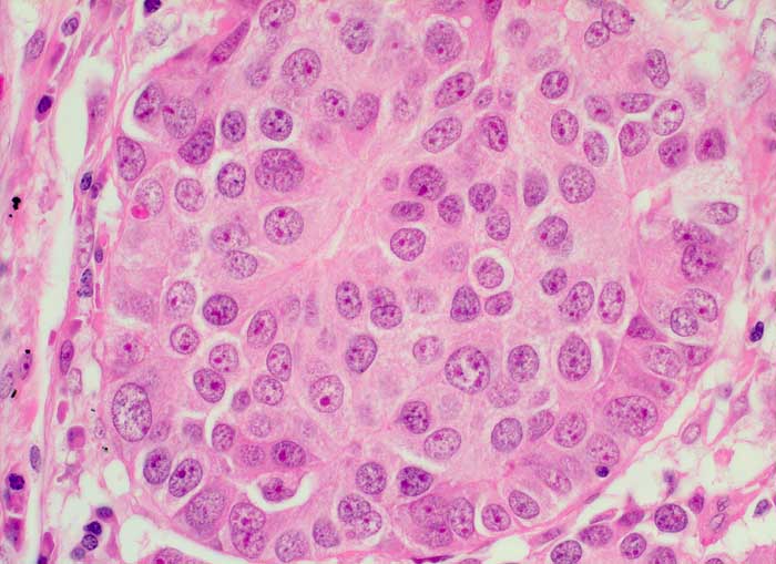
Solide, scharf begrenzte Tumorzellnester. Grosse, polygonale scharf begrenzte Tumorzellen mit reichlich eosinophilem Zytoplasma und hyperchromatischen Kernen mit prominenten Nukleoli.
Klinik
Lungenrundherd. Status nach Semikastration wegen Seminom.
Datum
Ersteintrag: 29.11.2002
Update: 04.02.2024