Pathopic
HiPaKu
ZyPaKu
PathoBasic
PathoBasic Cytology
Quizzes
Projektinfos
PathoPic - Projekt- und Copyright-Infos
About
Pathopic
HiPaKu
ZyPaKu
PathoBasic
PathoBasic Cytology
Quizzes
PathoPic – image database
/
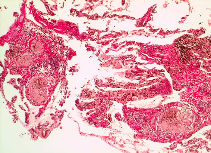
PathoPic ID 5738 - Sarkoidose
de
Diagnose
Sarkoidose
Diagnose Gruppe
Systemerkrankung/Immunpathologie
Topographie
Lunge
Topographie Gruppe
Lunge, Mediastinum mit Thymus
Beschreibung
Lungengewebe mit mehreren rein produktiven, fibrosierten epitheloid- und riesenzelligen
Granulomen, vereinbar mit Sarkoidose.
Zusatzbefund
Granulomatöse Parotitis, Granulome in der BAL
Klinik
Periphere granulomatöse Veränderung der Lunge
Kommentar
In der Ziehl-Neelsen-Färbung waren keine säurefesten Stäbchen nachweisbar.
Bilder Typ
Histologie
Alter
40
Geschlecht
männlich
Datum
Ersteintrag: 02.12.2002
Update: 04.02.2024
CPS
·
©
2024 Institut für Pathologie Basel
/
Dr. med. Katharina Glatz-Krieger
.
·
v2.1