PathoPic – image database / PathoPic ID 5741 - Metastase: Malignes Melanom

de
Diagnose
Metastase: Malignes Melanom
Diagnose Gruppe
maligner Tumor
Topographie
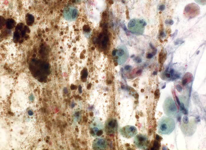
Bronchialsekret
Topographie Gruppe
Lunge, Mediastinum mit Thymus
Beschreibung
Bronchialsekret: Stark Melanin bildende Zellen. Das Melanin überdeckt die Kerne vollständig. So sind nur in wenigen Zellen Kernatypien zu sehen.
Klinik
metastasierendes Melanom
Kommentar
Zytologische Diagnose: malignes Melanom
Bilder Typ
Zytologie
Vergrösserung
400
Geschlecht
weiblich
Datum
Ersteintrag: 02.12.2002
Update: 04.02.2024