Diagnose
Zytostatikaschaden des respiratorischen Epithels
Diagnose Gruppe
Therapiefolgen
Topographie
Bronchialbürste, Zytologie
Topographie Gruppe
Lunge, Mediastinum mit Thymus
Beschreibung
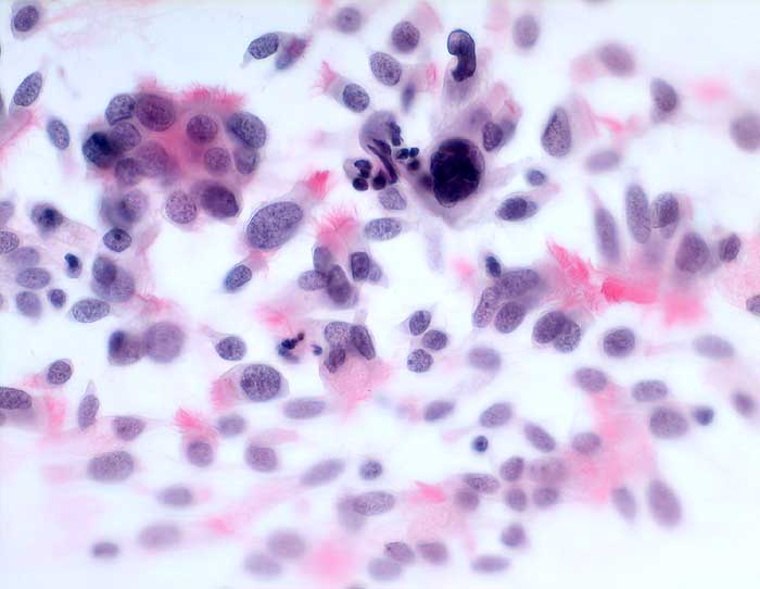
Bürstenbiopsie Bronchus: Flimmerzellen mit vergrösserten, manchmal entrundeten und hyperchromatischen Kernen. Einzelne Riesenflimmerzellen.
Klinik
St.n. Chemotherapie
Kommentar
Zytologische Diagnose: Zytostatikaschaden des respiratorischen Epithels.
Liegen die Kerne isoliert, kann es, besonders wenn zur Hyperchromasie eine gewisse Polymorphie hinzutritt, schwierig sein, die Dignität der Veränderung zu bestimmen.
Datum
Ersteintrag: 02.12.2002
Update: 04.02.2024