PathoPic – image database / PathoPic ID 5747 - Pneumocystis jirovecii

de
Diagnose
Pneumocystis jirovecii
Diagnose Gruppe
Entzündung infektiös
Topographie
Broncho-alveoläre Lavage
Topographie Gruppe
Lunge, Mediastinum mit Thymus
Beschreibung
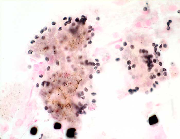
Bronchoalveoläre Lavage: Die etwa erythrozytengrossen Pneumozysten liegen zusammengeballt in einem wolkigen Material.
Klinik
doppelseitige interstitielle Pneumonie
Kommentar
Im Sputum werden Pneumozysten sehr selten nachgewiesen. Die beste Nachweismethode ist die bronchoalveoläre Lavage.
Bilder Typ
Zytologie
Vergrösserung
400
Alter
45
Geschlecht
unbekannt
Datum
Ersteintrag: 02.12.2002
Update: 04.02.2024