PathoPic – image database / PathoPic ID 5748 - Pneumocystis jirovecii

de
Diagnose
Pneumocystis jirovecii
Diagnose Gruppe
Entzündung infektiös
Topographie
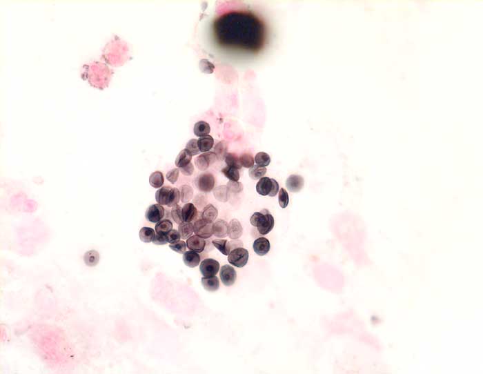
Broncho-alveoläre Lavage
Topographie Gruppe
Lunge, Mediastinum mit Thymus
Beschreibung
Bronchoalveoläre Lavage: Im Gegensatz zu Erythrozyten, die sich ebenfalls in einer Silberfärbung schwarz anfärben können, aber stets ein aufgehelltes Zentrum zeigen, ist die Einschluss-ähnliche Verdichtung im Zentrum der erythrozytengrossen Zystchen typisch für Pneumozysten.
Klinik
doppelseitige interstitielle Pneumonie
Kommentar
Im Sputum werden Pneumozysten sehr selten nachgewiesen. Die beste Nachweismethode ist die bronchoalveoläre Lavage.
Bilder Typ
Zytologie
Vergrösserung
630
Alter
45
Geschlecht
unbekannt
Datum
Ersteintrag: 02.12.2002
Update: 04.02.2024