Diagnose Gruppe
maligner Tumor
Topographie
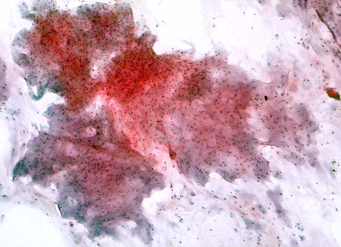
Bronchialsekret
Topographie Gruppe
Lunge, Mediastinum mit Thymus
Beschreibung
Bronchialsekret: Reichlich wolkige Matrix. Die einzeln in der Matrix eingebetteten Chondrozyten sind zahlreicher als in normalem Knorpel.
Zusatzbefund
Histologische Diagnose: Ueberwiegend hoch differenziertes Chondrosarkom (Chondrosarkom
Grad I bis II) der rechten Thoraxwand mit Infiltration der dorsalen, pulmonalseitigen Resektionsfläche
Klinik
Brustwandtumor parasternal rechts
Teils extra-, vorwiegend intrathorakal
Datum
Ersteintrag: 03.12.2002
Update: 04.02.2024