Diagnose
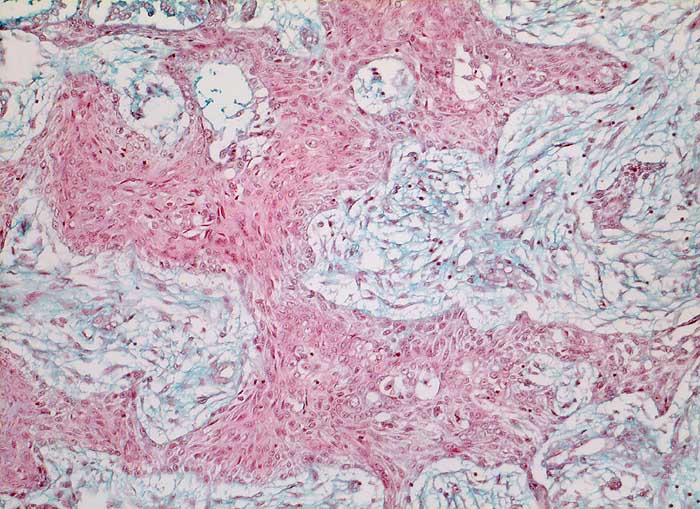
mässig differenziertes Plattenepithelkarzinom
Diagnose Gruppe
maligner Tumor
Topographie Gruppe
Lunge, Mediastinum mit Thymus
Beschreibung
Solider Tumorzellverband ohne erkennbare Verhornung. Reichlich desmoplastisches Stroma.
Datum
Ersteintrag: 03.12.2002
Update: 04.02.2024