PathoPic – image database / PathoPic ID 5778 - Becherzellhyperplasie

de
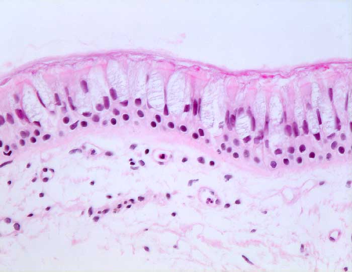
Diagnose
Becherzellhyperplasie
Diagnose Gruppe
Hyperplasie / Hypertrophie
Topographie
Bronchus
Topographie Gruppe
Lunge, Mediastinum mit Thymus
Beschreibung
Ausgeprägte Vermehrung der Becherzellen. Das normale Verhältnis von Becherzellen zu Flimmerzellen beträgt unter 1:5 bis 1:20.
Kommentar
Die Becherzellhyperplasie ist Zeichen der chronischen Epithelreizung durch eine unspezifische Bronchitis oder bei Asthma. Sie kommt auch isoliert im Abflussgebiet von Tumoren und tuberkulösen Kavernen vor.
Bilder Typ
Histologie
Vergrösserung
320
Alter
55
Geschlecht
unbekannt
Datum
Ersteintrag: 10.12.2002
Update: 04.02.2024