PathoPic – image database / PathoPic ID 5786 - Grosszelliges Karzinom

de
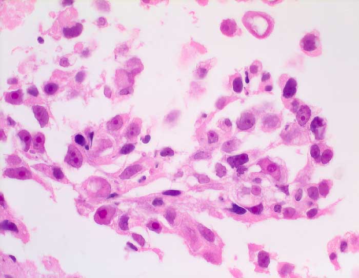
Diagnose
Grosszelliges Karzinom
Diagnose Gruppe
maligner Tumor
Topographie
Lunge
Topographie Gruppe
Lunge, Mediastinum mit Thymus
Beschreibung
Grosse polymorphe Tumorzellen mit einem oder mehreren Makronukleolen. Der Tumor lässt keine Differenzierung erkennen.
Klinik
Bronchuskarzinom rechter Unterlappen
Bilder Typ
Histologie
Vergrösserung
400
Alter
63
Geschlecht
männlich
Datum
Ersteintrag: 10.12.2002
Update: 04.02.2024