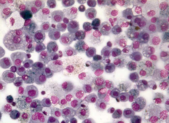
Makrophagen teils mit ausgeprägt schaumzelligem Zytoplasma.
Zusatzbefund
Elektronenmikroskopisch zeigt die Mehrzahl der Makrophagen dichte
Lipidtropfeneinlagerungen. Darüber hinaus enthalten die
Makrophagen aber auch immer wieder viele, teilweise konfluierende
und ganz unterschiedlich grosse und unterschiedlich gestaltete
multilamelläre Körperchen, wie bei einem Amiodarone-Schaden
beobachtet wird. Die Befunde passen gut zu dem konventionell
lichtmikroskopischen Befund, wonach die Lavage auffallend viele
schaumzellig umgewandelte Makrophagen enthält.
Klinik
Verdacht auf Cordarone-Lunge: Interstitielle Pneumonie,
jahrelange Cordarone-Therapie.