PathoPic – image database / PathoPic ID 5797 - Massive Eosinophilie bei Churg Strauss Vaskulitis

de
Diagnose
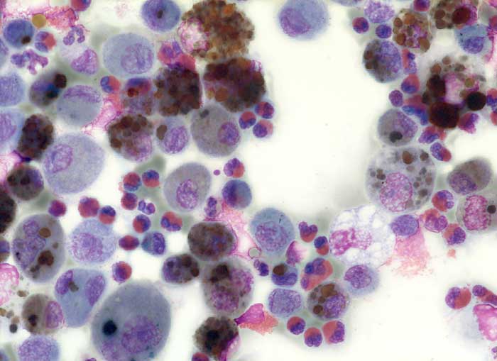
Massive Eosinophilie bei Churg Strauss Vaskulitis
Diagnose Gruppe
Systemerkrankung/Immunpathologie
Topographie
Broncho-alveoläre Lavage
Topographie Gruppe
Lunge, Mediastinum mit Thymus
Beschreibung
Hämosiderin speichernde Makrophagen als Zeichen abgelaufener alveolärer Blutungen und zahlreiche eosinophile Granulozyten mit rot granuliertem Zytoplasma.
Klinik
Asthma, Quincke Ödeme, Fieber, Bluteosinophilie
Bilder Typ
Zytologie
Vergrösserung
500
Alter
36
Geschlecht
unbekannt
Datum
Ersteintrag: 10.12.2002
Update: 04.02.2024