PathoPic – image database / PathoPic ID 5823 - Exogen allergisch Alveolitis

de
Diagnose
Exogen allergisch Alveolitis
Diagnose Gruppe
Systemerkrankung/Immunpathologie
Topographie
Lunge
Topographie Gruppe
Lunge, Mediastinum mit Thymus
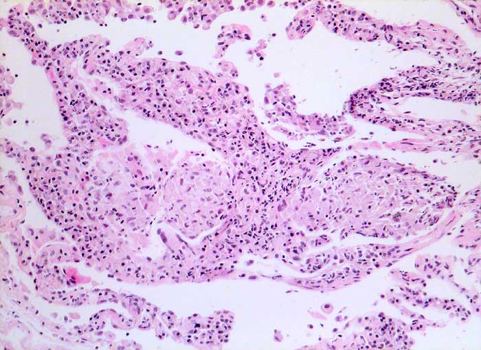
Beschreibung
Alveoläres Lungengewebe mit mässig bis deutlich ausgeprägter interstitieller lymphoplasmozytärer Entzündung und einigen lockeren intraalveolären epitheloid- und riesenzelligen Granulomen. Herdförmige geringe interstitielle Fibrose. Geringe Alveolarzellretention.
Zusatzbefund
Broncho-alveoläre Lavage: Massive Lymphozytose und deutliche Vermehrung der Alveolarmakrophagen mit schaumzelliger Umwandlung. Mässige Eosinophilie und deutliche Vermehrung der Mastzellen.
Klinik
BOOP, Cordarone-Pneumopathie, Alveolarzell-Ca ?
Kommentar
Histologisch findet sich hier das typische Bild einer Hypersensitivitätspneumonie (exogen-allergische Alveolitis). Eine Cordarone-Pneumopathie ist unwahrscheinlich. Der Befund passt gut zu der massiven Lymphozytose in der broncho-alveolären Lavage.
Bilder Typ
Histologie
Vergrösserung
100
Alter
62
Geschlecht
männlich
Datum
Ersteintrag: 13.12.2002
Update: 04.02.2024