PathoPic – image database / PathoPic ID 5827 - Pleuritis exsudativa tuberculosa

de
Diagnose
Pleuritis exsudativa tuberculosa
Diagnose Gruppe
Entzündung infektiös
Topographie
Pleura parietalis
Topographie Gruppe
Körperhöhlen, Serosa
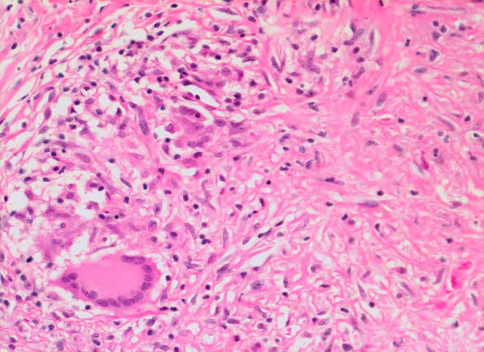
Beschreibung
Produktives epitheloid-riesenzelliges Granulom mit Riesenzelle vom Langhans Typ und schlanken Epitheloidzellen.
Klinik
Unklarer Pleuraerguss und inhomogene Pleuraverdickung.
Kommentar
Die Die schlanken Epitheloidzellen und die Riesenzelle vom Langhanstyp weisen auf eine Tuberkulose hin als Ursache der granulomatösen Entzündung.
Bilder Typ
Histologie
Vergrösserung
200
Alter
36
Geschlecht
männlich
Datum
Ersteintrag: 16.12.2002
Update: 04.02.2024