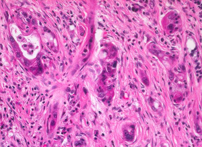
Das Karzinom bildet schlecht geformte oder unvollständige drüsige Strukturen mit ausgeprägten Epithelatypien. Daneben infiltrieren Tumorzellen das Stroma einzeln oder in kleinen Gruppen .
Zusatzbefund
Unscharf begrenzter weisser derber Herd im Pankreaskopfbereich. Stenosierung und praestenotische Dilatation von Ductus choledochus und Pankreasgang vor der Papille.
Klinik
Zunehmender schmerzloser Ikterus. Sonographische Darstellung einer 4cm grossen echoarmen Raumforderung im Pankreaskopfbereich. Dilatation des Pankreasganges und des Ductus choledochus. Whipple Operation.
Kommentar
Unregelmässig geformte Drüsen mit unvollständigen Lumina und Einzelzellen oder Gruppen von atypischen Zellen, die das Stroma infiltrieren sind typisch für das Karzinom und sprechen gegen entzündlich bedingte Veränderungen.