PathoPic – image database / PathoPic ID 5887 - Adenokarzinom des Pankreas

de
Diagnose
Adenokarzinom des Pankreas
Diagnose Gruppe
maligner Tumor
Topographie
Aszites
Topographie Gruppe
Leber, Gallenwege, Pankreas
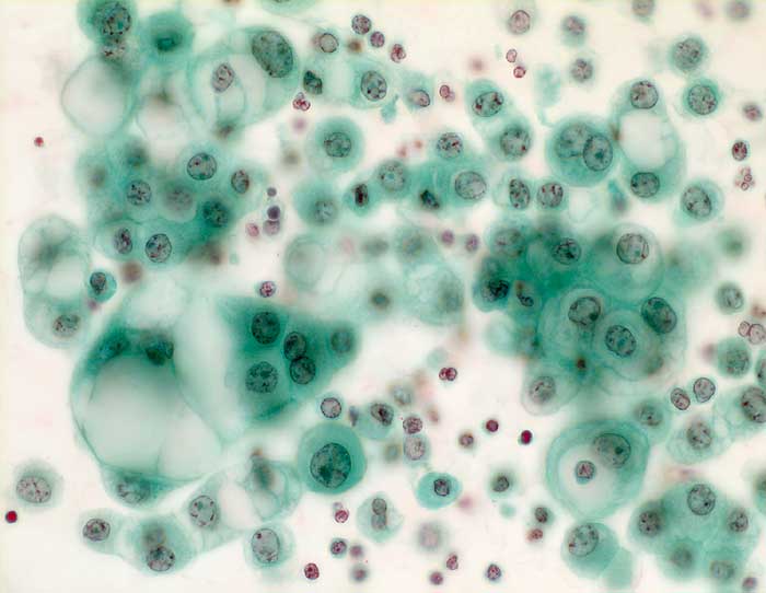
Beschreibung
Aszites: kleine Tumorzellverbände mit teilweise vakuolisiertem Zytoplasma und hyperchromatischen Kernen.
Klinik
Pankreaskopftumor
Kommentar
Zytologische Diagnose: Adenokarzinom, vereinbar mit metastasierendem Pankreaskarzinom
Bilder Typ
Zytologie
Vergrösserung
400
Alter
66
Geschlecht
männlich
Datum
Ersteintrag: 03.01.2003
Update: 04.02.2024