PathoPic – image database / PathoPic ID 5893 - malignes Pleuramesotheliom

de
Diagnose
malignes Pleuramesotheliom
Diagnose Gruppe
maligner Tumor
Topographie
Aszites
Topographie Gruppe
Körperhöhlen, Serosa
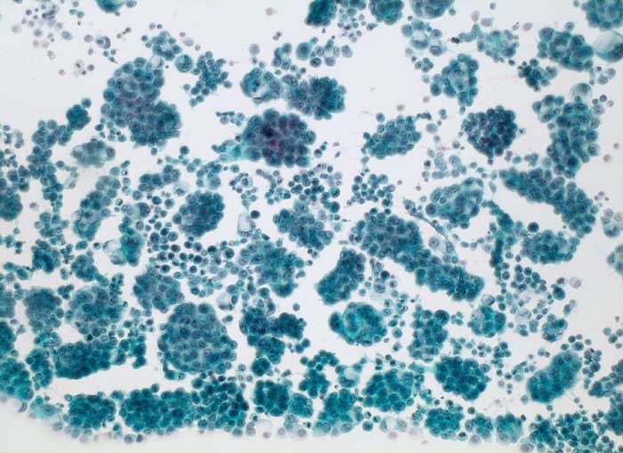
Beschreibung
Aszitespunktat: Das Sediment enthält zahlreiche dreidimensionale papilliforme Verbände von atypischer Zellen. Die Zellen sind ziemlich gleichförmig und besitzen rundliche, grob strukturierte. Insgesamt erscheinen die Zellverbände zierlich. Manchmal scheinen sie eine grössere Vakuole oder auch eine transparente Matrix zu umlagern. Hin und wieder Siegelringzellen.
Zusatzbefund
Immunzytochemische Befunde: Vimentin positiv, CEA und Ber-EP4 negativ.
Klinik
Pleuramesotheliom, neu Aszites. Gesicherte Asbestexposition.
Kommentar
Zytologische Diagnose: Massenhaft Zellen eines malignen Tumors. Der jetzige zytologische Befund passt gut zu einem Mesotheliom, ohne dieses aber mit letzter Sicherheit zu beweisen. Die Siegelringbildung soll für primär peritoneale Mesotheliome besonders charakteristisch sein.
Bilder Typ
Zytologie
Vergrösserung
100
Alter
61
Geschlecht
männlich
Datum
Ersteintrag: 03.01.2003
Update: 04.02.2024