PathoPic – image database / PathoPic ID 5897 - Malignes Melanom

de
Diagnose
Malignes Melanom
Diagnose Gruppe
maligner Tumor
Topographie
Pleuraerguss Zytologie
Topographie Gruppe
Körperhöhlen, Serosa
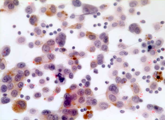
Beschreibung
Pleurapunktat: zahlreiche einzeln oder in Pseudoverbänden liegende atypische Zellen mit teilweise grobkörnigem braunem Pigment im Zytoplasma. Die Tumorzellen sind wesentlich grösser als die umligenden Makrophagen, die teilweise ebenfalls Pigment speichern, das sie aus zerfallenen Tumorzellen aufgenommen haben. Die Kerne der Tumorzellen sind rundlich bis oval und zeigen eine Pfeffer- und Salz Struktur. Weiter enthalten die Kerne eines oder mehrere mässig grosse Chromozentren. Einzelne intranukleäre Vakuolen.
Klinik
Pleuraerguss unklarer Ätiologie
Kommentar
Zytologische Diagnose: malignes Melanom. Die Bildung von Pseudoverbänden darf nicht zur Diagnose eines epithelialen Tumors verführen.
Bilder Typ
Zytologie
Vergrösserung
200
Alter
76
Geschlecht
unbekannt
Datum
Ersteintrag: 03.01.2003
Update: 04.02.2024