PathoPic – image database / PathoPic ID 5899 - Malignes Melanom

de
Diagnose
Malignes Melanom
Diagnose Gruppe
maligner Tumor
Topographie
Pleuraerguss Zytologie
Topographie Gruppe
Körperhöhlen, Serosa
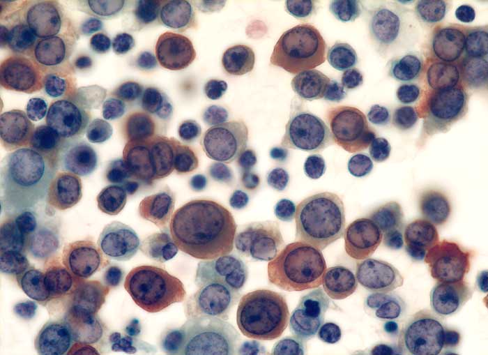
Beschreibung
Pleurapunktat: Die Melanomzellen sind positiv für den melanozytären Marker HMB-45. Die negativen Mesothelien sehen den Melanomzellen teilweise sehr ähnlich.
Zusatzbefund
In Anbetracht der Tatsache, dass aktivierte Pleuramesothelien unter Umständen nur sehr schwer oder gar nicht von Zellen eines malignen Melanomes unterschieden werden können, haben wir die zytologischen Präparate einer immunzytochemischen Untersuchung zugeführt. Ein Grossteil der Zellen war positiv für S-100 und HMB-45.
Klinik
Bekanntes malignes Melanom
Kommentar
Zytologische Diagnose: malignes Melanom.
Bilder Typ
Zytologie
Immunhistochemie
HMB-45
Vergrösserung
630
Alter
69
Geschlecht
unbekannt
Datum
Ersteintrag: 03.01.2003
Update: 04.02.2024