Diagnose
amelanotisches Malignes Melanom
Diagnose Gruppe
maligner Tumor
Topographie
Pleura parietalis
Topographie Gruppe
Körperhöhlen, Serosa
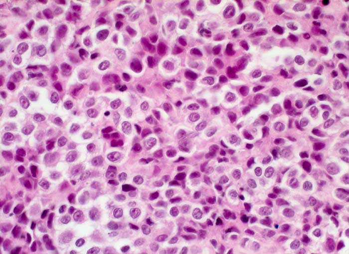
Beschreibung
Epitheloidzelliger solider nicht pigmentierter Tumor.
Klinik
Bekanntes malignes Melanom
Kommentar
Zytologische Diagnose: malignes Melanom.
Datum
Ersteintrag: 03.01.2003
Update: 04.02.2024