Pathopic
HiPaKu
ZyPaKu
PathoBasic
PathoBasic Cytology
Quizzes
Projektinfos
PathoPic - Projekt- und Copyright-Infos
About
Pathopic
HiPaKu
ZyPaKu
PathoBasic
PathoBasic Cytology
Quizzes
PathoPic – image database
/
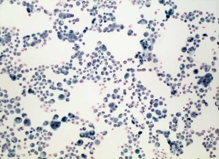
PathoPic ID 5901 - invasiv lobuläres Mammakarzinom
de
Diagnose
invasiv lobuläres Mammakarzinom
Diagnose Gruppe
maligner Tumor
Topographie
Aszites
Topographie Gruppe
Körperhöhlen, Serosa
Beschreibung
Aszitespunktat: Massenhaft atypische Zellen sowohl in
einzelner Lagerungen wie auch in Form von
kleinen Zellkomplexen und
zeilenförmigen Verbänden.
Klinik
Metastasierendes Mammakarzinom
Kommentar
Zytologische Diagnose: Massenhaft Zellen eines Adenokarzinoms. Das Zellbild passt zu Metastasen des bereits bekannten Mammakarzinoms.
Bilder Typ
Zytologie
Vergrösserung
100
Alter
66
Geschlecht
unbekannt
Datum
Ersteintrag: 03.01.2003
Update: 04.02.2024
CPS
·
©
2024 Institut für Pathologie Basel
/
Dr. med. Katharina Glatz-Krieger
.
·
v2.1