Diagnose
invasiv lobuläres Mammakarzinom
Diagnose Gruppe
maligner Tumor
Beschreibung
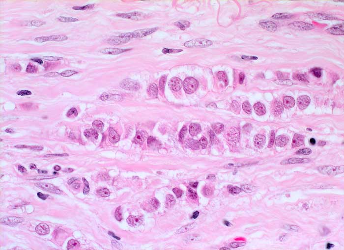
Die monomorphen Tumorzellen sind in gänsemarschartigen Einerreihen angeordnet.
Klinik
Metastasierendes Mammakarzinom
Datum
Ersteintrag: 03.01.2003
Update: 04.02.2024