PathoPic – image database / PathoPic ID 592 - Primär peritoneales serös papilläres Karzinom

de
Diagnose
Primär peritoneales serös papilläres Karzinom
Diagnose Gruppe
maligner Tumor
Topographie
Peritoneum
Topographie Gruppe
Körperhöhlen, Serosa
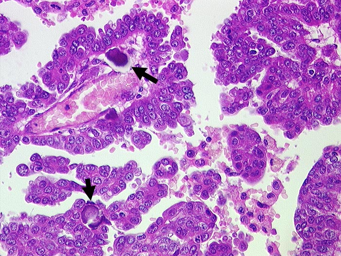
Beschreibung
Papillärer Tumor mit Psammomkörperchen.
Zusatzbefund
Ausgedehnter peritonealer Tumorbefall. Ovarien klein und lediglich oberflächlich tumorbefallen.
Klinik
Subileus.
Kommentar
Definition des primären serösen Karzinoms des Peritoneums siehe AFIP Tumors of the ovary...
S. 451ff
Bilder Typ
Histologie
Alter
53
Geschlecht
unbekannt
Datum
Ersteintrag: 14.11.2001
Update: 04.02.2024