PathoPic – image database / PathoPic ID 5942 - invasives duktales Mammakarzinom Pleurakarzinose

de
Diagnose
invasives duktales Mammakarzinom Pleurakarzinose
Diagnose Gruppe
maligner Tumor
Topographie
Pleuraerguss Zytologie
Topographie Gruppe
Körperhöhlen, Serosa
Beschreibung
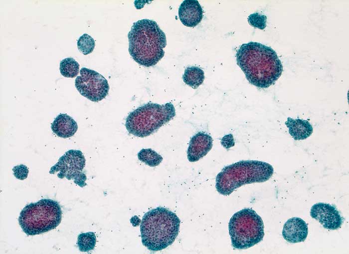
Pleuraerguss: Man erkennt zahlreiche kugelförmige und abgerundete Verbände aus atypischen Epithelien.
Klinik
Mammakarzinom vor 4 Jahren. Jetzt Pleuraerguss links.
Kommentar
Zytologische Diagnose: Karzinomzellen. Befund spricht für Pleurametastase des bereits bekannten Mammakarzinoms.
Bilder Typ
Zytologie
Vergrösserung
50
Alter
48
Geschlecht
unbekannt
Datum
Ersteintrag: 06.01.2003
Update: 04.02.2024