Diagnose
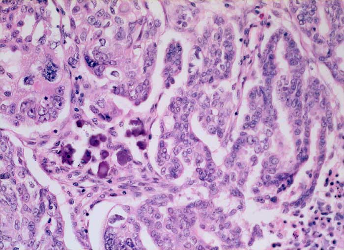
serös papilläres Ovarialkarzinom
Diagnose Gruppe
maligner Tumor
Topographie Gruppe
Knochen, Knorpel, Gelenke
Beschreibung
Papilliforme und solide Tumormassen mit unterschiedlich grossen Tumorzellen und ausgeprägten Kernatypien entsprechend einem wenig differenzierten Karzinom. Psammomkörperchen.
Klinik
Maligner Aszites. V.a. Ovarial-Ca.
Datum
Ersteintrag: 06.01.2003
Update: 04.02.2024