PathoPic – image database / PathoPic ID 5960 - Toxoplasma Enzephalitis

de
Diagnose
Toxoplasma Enzephalitis
Diagnose Gruppe
Entzündung infektiös
Topographie
Thalamus
Topographie Gruppe
Nervensystem
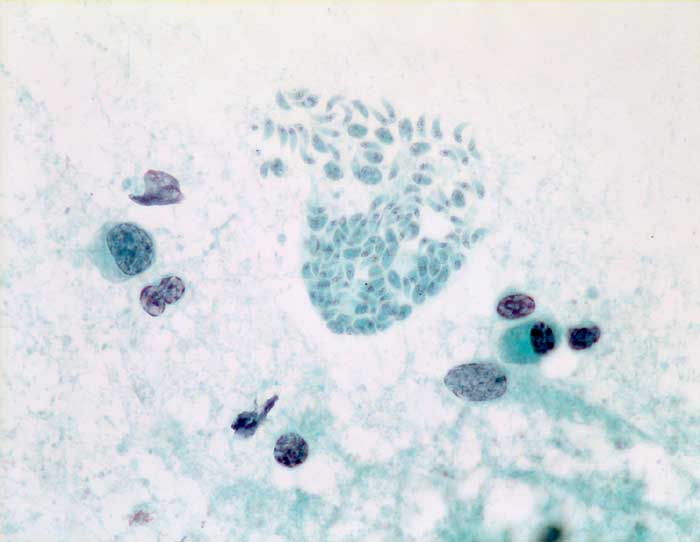
Beschreibung
Thalamus, Frischgewebsabstrich: Rupturierte Gewebezyste mit Bradyzoiten. Bei Ruptur kommt es zur frischen Erregerstreuung in das angrenzende Gewebe. Entzündungszellen.
Zusatzbefund
Immunhistochemisch zeigen sich inmitten der chronischen Parenchymentzündung vereinzelte Pseudozysten mit stark immunoreaktiven Bradyzoyten. Ausserhalb dieser Pseudozysten, oft in kleinen Gruppen angeordnet, findet man auch stark immunoreaktive Tachizoyten.
Klinik
Kontrastmittel anreichernder Tumor im Thalamus rechts
Bilder Typ
Zytologie
Vergrösserung
200
Alter
47
Geschlecht
männlich
Datum
Ersteintrag: 06.01.2003
Update: 04.02.2024