Diagnose
serös papilläres Ovarialkarzinom
Diagnose Gruppe
maligner Tumor
Topographie Gruppe
Körperhöhlen, Serosa
Beschreibung
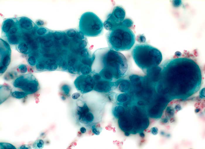
Aszitespunktat: Deutlich ausgeprägter Dimorphismus mit einer Population kleiner Tumorzellen mit geringen Atypien und einer zweiten Population sehr grosser Tumorzellen mit starken Atypien.
Kommentar
Zytologische Diagnose: Zahlreiche Zellen eines Adenokarzinoms.
Der zytologische Befund lässt am ehesten an ein Ovarialkarzinom denken.
Datum
Ersteintrag: 14.01.2003
Update: 04.02.2024