PathoPic – image database / PathoPic ID 6044 - serös papillärer Ovarialtumor von Borderline Malignität

de
Schweregrad
Diagnose
serös papillärer Ovarialtumor von Borderline Malignität
Diagnose Gruppe
maligner Tumor
Topographie
Ovar
Topographie Gruppe
Genitalorgane, weiblich
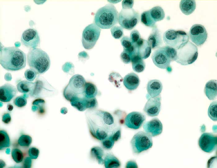
Beschreibung
Flüssigkeit aus zystischem Ovarialtumor: zahlreiche kleine Zellverbände mit leichten Kernatypien. Ein Teil der Zellen zeigt vakuolisiertes Zytoplasma. Dadurch werden die Kerne zur Seite gedrängt.
Zusatzbefund
Histologie: serös papillärer Ovarialtumor von Borderlinemalignität
Klinik
12cm grosser zystischer Ovarialtumor
Kommentar
Zytologische Diagnose: zahlreiche Zellen mit leichten Kernatypien. Aufgrund der Kernatypien ist in erster Linie an einen serösen Borderline Tumor zu denken. Ein invasives Karzinom ist weniger wahrscheinlich, aber nicht ausgeschlossen.
Bilder Typ
Zytologie
Vergrösserung
500
Alter
53
Geschlecht
unbekannt
Datum
Ersteintrag: 15.01.2003
Update: 04.02.2024