serös papillärer Ovarialtumor von Borderline Malignität
Diagnose Gruppe
maligner Tumor
Topographie
Ovar
Topographie Gruppe
Genitalorgane, weiblich
Beschreibung
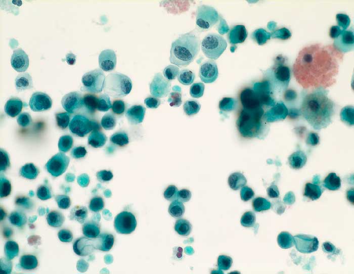
Flüssigkeit aus zystischem Ovarialtumor: zystischer Hintergrund mit Makrophagen und degenerierten Zellen. Zahlreiche einzeln liegende Zellen mit hyperchromatischen Zellkernen und unregelmässiger Kernmembran. Das Zytoplasma ist teilweise vakuolisiert.
Zusatzbefund
Histologie: serös papillärer Ovarialtumor von Borderlinemalignität
Klinik
12cm grosser zystischer Ovarialtumor
Kommentar
Zytologische Diagnose: zahlreiche Zellen mit leichten Kernatypien. Aufgrund der Kernatypien ist in erster Linie an einen serösen Borderline Tumor zu denken. Ein invasives Karzinom ist weniger wahrscheinlich, aber nicht ausgeschlossen.